马凡综合征的主要危害是心血管病变,早发现、早治疗、定期随访心血管情况,对于马凡综合征患者来说有着重要意义。经超声心动图在本病心血管系统改变的诊断中有重要意义,可以明确主动脉病变情况。
一、什么是大血管?
大血管,顾名思义就是大的血管,包括静脉和动脉。一般情况下,主动脉、肺动脉主干及其他发出的最大分支成为大动脉,包括升主动脉、主动脉弓、胸主动脉、腹主动豚、髋总动麻、锁骨下动脉、腋动脉、肱动脉、颈外动脉、肺动脉等等,这些都称为大动脉,相对应的静脉则为大静脉。大动脉和大静脉合称为大血管。
马凡综合征患者往往最先累及的部位是主动脉根部、升主动脉。经胸超声心动及外周血管超声检查可以对上述血管走行、内径、内一中膜厚度、血流速度及频谱进行检查并对病变部位及程度进行明确诊断。
同时,当马凡患者发生夹层后,血管超声检查可以定期随访检查,对胸腹主动脉各段直径、扩张的部位、是否有夹层、血栓等情况进行诊断,还可实时评估各段血管主干及分支开口的血流是否通畅,是否有血流速度及频谱的变化,还可评估病变部位的狹窄程度以及狹窄以远(如下肢动脉)的血流进行评估。
二、主动脉根部病变的超声诊断
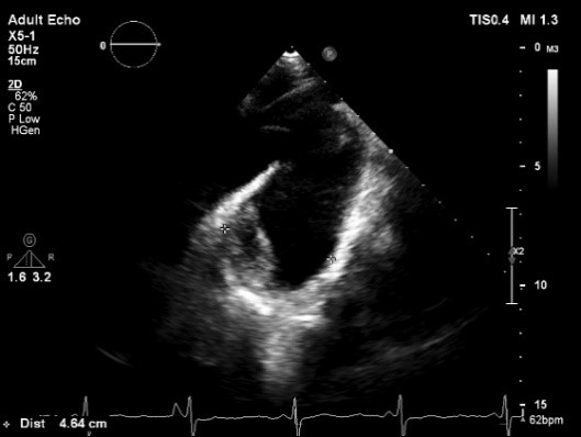
马凡综合征患者最先表现的是主动脉根部的扩张。马凡患者早期表现为主动脉窦明显扩大,呈“蒜头样”或“梨”形,在超声上主要表现为单独的窦部增宽(正常成人<3.5cm)(图1),或者整个根部(瓣环、窦部、窦管交界)增宽甚至扩张(图2),有时在超声图像上可见窦管交界消失并伴随着升主动脉的扩张。正常患者当根部>5.5cm 时就建议手术治疗,而马凡综合征的患者则在根部>5.0cm时建议手术治疗。

图1、主动脉窦部增宽>3.5cm

图2、主动脉瓣环、窦部、窦交界均增宽
此外,儿童马凡综合征患者的根部测量值不能拿同龄儿童正常值做对照,需以身高、体重、体表面积等数值为参考进行测算,也就是每个小马凡患者的数值都要个体计算,每次检查结果的前后对比更有意义。
三、升主动脉病变的超声诊断
升主动脉是连接主动脉根部及主动脉弓部的一个组成部分(图3),也是马凡患者首发A型夹层累及的重要部分。正常成人升主动豚内径 <3.5cm,当升主动脉增宽或呈瘤样扩张时,并发夹层的危险性则增加。

图3
经胸超声心动图是检查升主动脉近端及远端、主动脉弓部等直观、简易的检查方式,可观察升主动脉内径,扩张形态、程度及范围、内一中膜是否完整(图4),以及是否有斑块、是否有夹层的剥脱内膜、夹层破口位置、真假腔血流情況等。

图4、评估主动脉内径及内-中膜延续性
四、主动脉夹层的超声诊断
马凡综合征是引发急性主动脉夹层的病因之一,20%-40%的马凡综合征患者发展为急性主动脉夹层,而马凡综合征占主动脉夹层的6%-9%。主动脉夹层和破裂以及慢性主动脉瓣关闭不全是马凡综合征患者死亡的主要原因。
因为发病快,短时问内死亡率极高,所以很多患者来不及做CTA 等有创性检查,这时我们超声就发挥了重要作用,超声在主动脉夹层中的诊断中,可判断夹层起始部位,破口位置、血管管受累范围情况,冠脉及瓣膜受累情况,主动脉分支血管受累、供血情况,心胜大小功能,心包积液及是否填塞,以及其他脏器相应情况的评估,是目前迅速及简易的一个急性主动脉夹层的评估手段。


主动脉根部受累:主动脉根部可见剥脱内膜回声(图上:二维TEE,图下:三维TEE)

升主动脉内夹层内膜片

升主动脉远段及弓部夹层内膜片

主动脉弓部分支受累:无名动脉及右侧颈总动脉夹层内膜片回声,真腔极小,右侧锁骨下动脉开口受压

降主动脉内剥脱内膜及假腔内血栓

胸主动脉内剥脱内膜回声
参考文献:
[1]李欣.马凡综合征的超声诊断及相关问题[A].孙立忠主编.马凡综合征知识普及及手册[C].北京:北京康心马凡综合征关爱中心,2019,109-116